塩竈市立病院

放射線科(MRI)

各検査で得られる画像

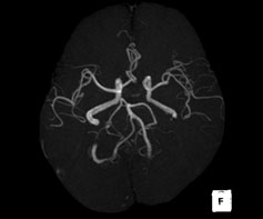
頭部MRI検査(画像は全て実際に当院で撮影したものです)

脳梗塞、脳腫瘍、脳出血などの頭蓋内病変を診断するための検査です。 また、造影剤を用いること無く血管を明瞭に描出することができるので、動脈瘤や血管狭窄などの診断に有用です。

頭部MRI検査の画像 頭部MRI検査の画像
頭部MRI検査の画像 頭部MRI検査の画像

腹部MRI検査(画像は全て実際に当院で撮影したものです)

肝臓、胆のう、膵臓、腎臓などの病変を診断するための検査です。腹部の検査では、息を止めていただいたり、呼吸の動きに合わせて撮影します。

腹部MRI検査の画像 腹部MRI検査の画像
腹部MRI検査の画像 腹部MRI検査の画像

乳房MRI(画像は全て実際に当院で撮影したものです)

乳房の病変を診断するための検査です。乳がんの有無や、乳がんの広がりを評価します。うつ伏せで寝て頂いて検査をします。

乳房MRIの画像 乳房MRIの画像
乳房MRIの画像 乳房MRIの画像

骨盤部MRI検査(画像は全て実際に当院で撮影したものです)

前立腺や膀胱、子宮や卵巣の病変を診断するために行います。

骨盤部MRI検査の画像 骨盤部MRI検査の画像

脊椎MRI検査(画像は全て実際に当院で撮影したものです)

頸椎、胸椎、腰椎の病変を診断するために行います。脊椎や椎間板などを鮮明に描出することができ、痛みやしびれの原因となる椎間板ヘルニアや圧迫骨折、転移性腫瘍の診断に有用な検査です。

脊椎MRI検査の画像 脊椎MRI検査の画像
脊椎MRI検査の画像 脊椎MRI検査の画像
脊椎MRI検査の画像 脊椎MRI検査の画像

四肢MRI検査(画像は全て実際に当院で撮影したものです)

肩関節や手関節、膝関節や足関節などの病変を診断するために行います。靱帯損傷や関節炎、レントゲンではわからない骨折(不顕性骨折)などの診断に有用です。

四肢MRI検査の画像 四肢MRI検査の画像
四肢MRI検査の画像 四肢MRI検査の画像
四肢MRI検査の画像 四肢MRI検査の画像

Bone Inage(画像は全て実際に当院で撮影したものです)

皮質骨、海綿骨、腱、靭帯が高信号となり、骨折、腱断裂、靭帯損傷等の評価が可能な画像です。被ばくなく、CTのような画像が取得可能です。

骨の画像 骨の画像 骨の画像
サイト内検索(検索の仕方)
  • 文字サイズ


ページトップへ